Bizi Arayın | 232 421 05 45



Konservatif Diş

Dentalsancak Ağız ve Diş Sağlığı Polikliniği
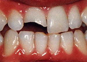
DİŞ ÇÜRÜKLERİ
Ağızdaki bakterilerden ve bunların yapışkan salgısı dextrandan oluşan bakteri plağı, şekerli ve unlu yiyeceklerin ağızda kalan artıklarından asit oluşturur. Bu asitler, dişlerin mineral dokusunu çözerek dişin minesinin bozulmasına ve sonuçta da diş çürüğünün başlamasına neden olur. Diş çürüğünün ilk belirtisi diş yüzeyinde oluşturduğu beyaz bir lekedir. Bu aşamada çürük durdurulabilir ve geri dönebilir. Beyaz leke, minenin hangi bölgesinde mineral kaybı olduğunu gösterir. Bir süre sonra mineral kaybı bir delik açacak kadar büyür. Bu kayıp devam ederse dişin yumuşak iç kısımları da etkilenir ve yıkıcı işlem hızlanır. Tedavi en iyi ihtimalle büyük bir dolgu olacaktır.
Dentalsancak Ağız ve Diş Sağlığı Polikliniği
KOMPOZİT-DİŞ RENGİ DOLGU
Kompozit dolgular çürük, kırık ve estetik amaçlı olarak kullanılan diş rengindeki dolgulardır. Bu dolgular, hazırlanmış kavitelere tabaka tabaka yerleştirilir ve her tabaka özel bir ışık ile sertleştirilir. Estetik ve ekonomiktirler. Bonding denen özel bir yapıştırıcı ile dişe tutunabildiklerinden dişte gereksiz madde kaybına neden olmazlar. Sertleşme esnasında çok küçük de olsa bir büzülme olabileceğinden ömürleri porselen dolgular kadar uzun değildir. Kompozit dolgular sigara, çay, kahve, cola, soya gibi boyayıcı ajan içeren maddelerin kullanımına bağlı olarak renk değiştirirler.

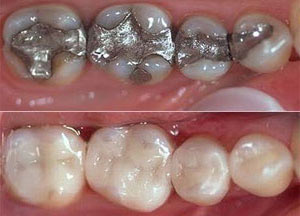
AMALGAM DOLGULAR
Gümüş, civa, bakır ve kalayın karışımı bir alaşımdır. Bu alaşım dişlerde yüzyıllardır güvenli olarak en eski dolgu malzemesidir. Ancak estetik olarak kötüdür.
Dentalsancak Ağız ve Diş Sağlığı Polikliniği
PORSELEN İNLAY-ONLAY DOLGU
Porselen dolgular laboratuarda hazırlanan üstün estetik ve dayanıklılığa sahip dolgulardır. Kompozit dolgulara göre, uygulandıkları diş ve komşu dişler ile çok daha uyumludur. Bu, dolgunun ağız dışında laboratuar ortamında hazırlanma özelliğinden kaynaklanır. Dişin kırık, çürük veya eski dolgulu kısmı uzaklaştırıldıktan sonra kalan sağlam bölümün ölçüsü alınarak laboratuara yollanır. Laboratuar ortamında, hassas bir teknoloji ile hazırlanan model, özel IPS makinesine alınarak mükemmel estetik ve fonksiyona sahip dolgular elde edilir. IPS porselen (Leucide reinforced pressable porcelain) dolgular, dünyada mevcut ağız içi restorasyon materyalleri arasında diş dokusuna en uygun malzemedir. Bu porselen dolgunun hazırlanmasında en ileri teknoloji kullanılır. IPS dolgu yönteminde ağızdaki sağlıklı diş dokusuna dokunulmaz. Minimum madde kaybı ile maksimum tutuculuk sağlanır. Sıkıştırılmış özel bir porselenden olduklarından ve ağızda sertleştirilmediklerinden kenar sızıntısı minimumdur (Bu, dolgu altı çürükleri ve dolgunun düşmesini engeller). Ayrıca bu porselenler dişin sertliğine en yakın ve dişeti ile en uyumlu malzemelerdir. Sertliği dişin mine dokusuna çok yakın olduğu için diğer porselenler gibi dişleri aşındırmaz , kompozit dolgular gibi de aşınmaz. Özellikle büyük madde kayıplarında, kompozit dolgu veya kuron(kaplama) yerine tercih edilmelidir.